Home WHAT'S ホワイトニング? 歯の場所説明 スタッフA スタッフB スタッフC
スタッフD スタッフE ブライダル・ホワイトニング お問い合わせ

staff A

特徴;ホワイトニング中に痛みを感じることが比較的多かったので、途中休むこともあった 
・ホワイトニング法:通常の使用法通り夜間のトレー使用。通法通り1日2時間でホワイトニングをはじめる。3本目より時間を延長する。
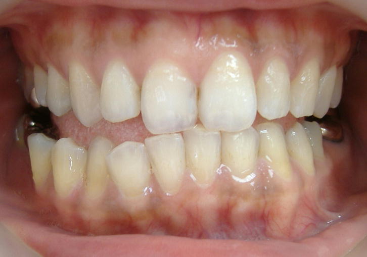
・歯の特徴:G@(←歯の場所説明をご覧下さい)の歯の先はもともと透明感が強く、薄い歯の質をしています
H@G@は歯の間につめものをしています
・歯の明るさ:明るい方から3番目
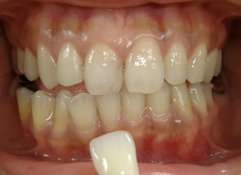
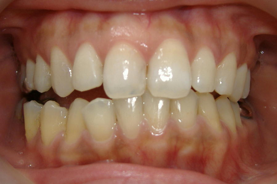
違いがわかりやすいようにまず上だけホワイトニングしています
 
*本文中の記号(I@@Hなど)については「歯の場所説明」をご覧下さい
 
 
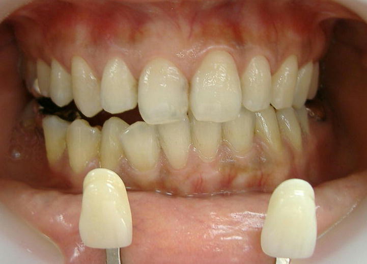
写真はそのときの写り具合で明るく見えたり暗く見えたりしていますが、上下の歯の色を比較してみて下さい。その差がホワイトニングの差だと感じて下さい。ただ、実物はどの症例ももっと差が歴然としています。
before
1日目:2時間。歯の質が薄いG@(←歯の場所説明をご覧下さい)の先にしみがあり少し痛みも感じた。
2日目:休み。前日しみを感じた部分にしみ止めのコーティング剤をつけて様子を見る。
3日目:22:00〜24:00(2時間)特に症状なし
4日目:2時間。問題なし。
5日目:22:00〜1:00(3時間)問題なし
6日目:22:00〜24:00(2時間)
 
before
6日・・ジェル1本目終了
7日目:今日から2本目。22:00〜0:30(2時間半)G@@Gの間の歯肉が赤くなっている。トレーを入れて少しの間歯の先あたりにしみを感じた
8日目2:30〜6:30(4時間)トレーを入れたときヒリヒリした感じがある。翌日@Iあたりでしみが1日近く続いた。食事は普通に取ることができたが、冷水はしみた。
9日目−休み
10日目21:00〜23:00(2時間)トレーを入れたときの違和感はあるが30分ほどで落ち着く。部分的に白さが違う。
11日目22〜23:00(1時間)トレーへのジェルの入れ方に気を付けないと均一に白くならないようだ。
12日目22:00〜0:00(2時間)特に問題なし。
 
6日・・ジェル1本目終了
12日・・ジェル2本目終了
13日目今日から3本目。22:00〜0:00(2時間)問題なし
14日目22:00〜0:00(2時間)トレーを入れたとき少ししみがある
15日目22:00〜0:00(2時間)歯磨きするとき歯肉に毛先が当たると痛い。歯は問題なし
16日目22:00〜2:00(4時間)歯との境目の歯肉がイジイジする感じがある。トレーをはずすとしみ、痛みがあった。
17日目21:45〜1:45(4時間)トレーをはずすと少ししみ、痛みがある。朝起きたときは痛みがなかったが、食事すると痛みだし、半日近くしみ、痛みがあった。
12日・・ジェル2本目終了
18日・・ジェル3本終了
1日休む
18日目;22:00〜2:00(4時間)@Iあたりにしみる感じがある。
19日目;22:00〜5:00(8時間)トレーを入れてから話をしていたのでジェルが薄まっているような感じで、しみもなかった。
20日目;23:00〜6:00(7時間)特に異常なし
21日目;22:00〜4:00(6時間)しみや痛みはないが、歯磨きのとき毛先が歯肉に当たると痛い。(継続中)
22日目;22:00〜6:00(8時間)特に問題なし
23日目;4:50〜7:50(3時間)特に問題なし
24日目;13:00〜17:00(4時間)昼間でもしゃべらなければ効果はある感じ。
25日目;22:00〜2:00(4時間)少ししみる。
26日目;最終日23:00〜7:00(8時間)午前中の間はしみがあった。
18日・・ジェル3本終了
26日・・finish
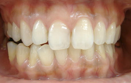
通常なら24日(ジェル4本)で終了ですが、途中しみがあったりしたので休んだため26日で終了となりました。ホワイトニングしていない下の歯と比べて、上の歯は歯肉に近い部分まで白くなって黄色っぽい感じがありません。また歯の先の方も白さがいっそう増しています。
実物を見ると一目瞭然でこの写真以上に上下の違いが良くわかります。
26日・・finish

PAST INDEX FUTURE

Last updated: 2005/7/26

ganba1@mx5.kct.ne.jpganba1@mx5.kct.ne.jp