Home WHAT'S ホワイトニング? 歯の場所説明 スタッフA スタッフB スタッフC
スタッフD スタッフE ブライダル・ホワイトニング お問い合わせ

staff C

特徴;痛みやしみをあまり感じることがなく、予定通りにホワイトニングがすすんだ 
・ホワイトニング法:夜間のトレー使用。通法通り1日2時間でホワイトニングをはじめる。3本目から時間を延長最終的にオーバーナイト(就寝時間中)のホワイトニング
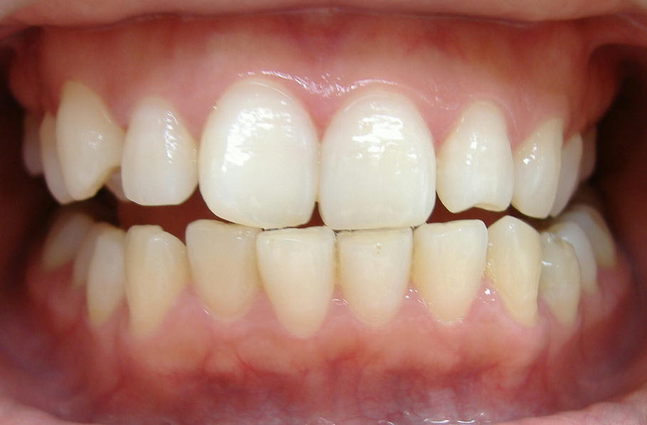
歯の明るさ:明るい方から2番目
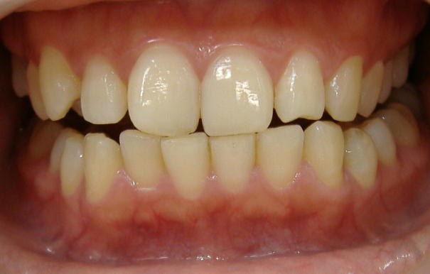
違いがわかりやすいように、まず上だけホワイトニングしています
 
*本文中の記号(I@@Hなど)については「歯の場所説明」をご覧下さい
 
 
 
写真はそのときの写り具合で明るく見えたり暗く見えたりしていますが、上下の歯の色を比較してみて下さい。その差がホワイトニングの差だと感じて下さい。ただ、実物はどの症例ももっと差が歴然としています。
before
使用説明書通り1日2時間のホワイトニングをはじめました
1日目:15:00〜17:00(2時間)
2日目:23:00〜1:00(2時間)
3日目:0:30〜5:30(5時間)途中寝てしまった。
4日目:23:00〜1:00(2時間)@G@H(←歯の場所説明をご覧下さい)の先にしみが若干ある
5日目:2:00〜4:00(2時間)@G@Hに若干しみがある
6日目:23:00〜1:00(2時間)かなり冷たい物を飲めば@G@Hにしみを感じるが、前日、前々日のようなしみはない
 
 
 
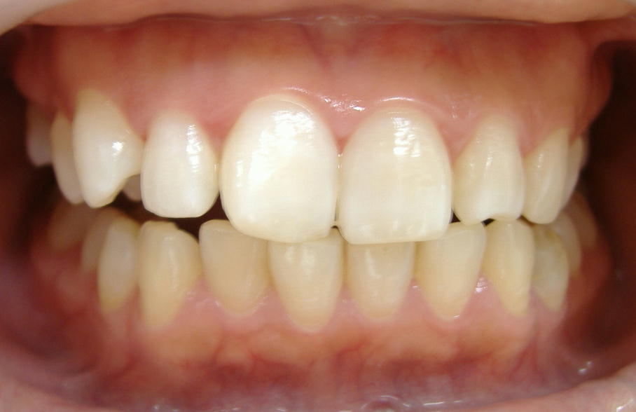
before
6日・・ジェル1本終了
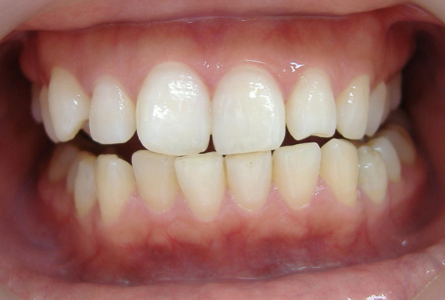
若干歯肉に近い部分の歯の黄色味が、下と比べて上の方がなくなっています。
 
7日目:23:00〜1:00(2時間)ほとんどしみなくなった。途中水を飲む
8日目:21:00〜1:00(4時間)終了後水を飲んだら@Gにしみを感じた
9日目:22:00〜2:00(4時間)@Gが朝食時しみと違和感がある。@Iにもしみを感じる
10日目:0:00〜2:00(2時間)トレー装着時に歯肉が若干痛んだがすぐ治まる
11日目:23:00〜1:00(2時間)歯肉がピリピリする
12日目:23:00〜2:30(3時間半)朝食時しみを感じたがほとんど気にならない
 
6日・・ジェル1本終了
12日・・ジェル2本終了
13日目:Dr診察。G@@Gの間の歯肉が赤くなっている。J@あたりの歯と歯肉の境部分が白くなっている
本日より1日4時間ホワイトニング
21:30〜1:30(4時間)G@GHの間の歯肉が赤くなってピリピリした。
14日目;21:45〜2:00(4時間15分)G@Gがうがいをしたとき少ししみた。歯肉のピリピリ感は消えた。
15日目;21:00〜2:30(5時間半)全体的に少ししみる感じがする。しみの予防で2:30〜6:30の間フッ素ジェルをする
16日目;1:00〜5:00(4時間)G@Gがしみるので5:00〜9:00の間フッ素ジェルをする。
17日目;2:40〜6:40(4時間)G@Gが何もしなくてもしみるが、夜にはおさまった。
18日目;22:30〜2:30(4時間)G@Gに少ししみがある。
12日・・ジェル2本終了
18日・・ジェル3本終了
オーバーナイト(就寝中)のホワイトニングに変更
19日目;1:30〜8:30(7時間)後フッ素ジェル8:30〜10:00一気に白くなったように見えるが、1日中しみて痛かった。
20日目;21:15〜6:40(9時間55分)IHG@Gの歯と歯の間の歯肉が赤くなってハブラシが当たると痛いが昨日のような歯のしみや痛みはない。
21日目;0:30〜7:30(7時間)トレーを入れるときに歯肉がピリピリする
22日目;1:30〜8:30(7時間)トレーを入れるとき歯肉がピリピリする
23日目;1:30〜6:30(5時間)トレーを入れて暫く歯肉がピリピリした感じ。
24日目;21:30〜5:30(8時間)最終日。今日で4本終了。冷たいものを口に含むとG@Gがしみる感じはあるが、暫くすると落ち着いてくる。
18日・・ジェル3本終了
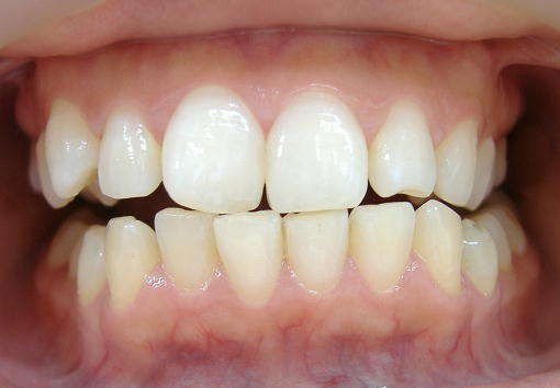
24日・・finish
上下の歯の白さの違いがはっきりしている。2時間のホワイトニングではさほど効果が出なかったが、時間を延ばしてから特に変化が現れた。順調にホワイトニングがすすんだのは不快症状(しみ・歯肉の違和感)が少なかったからだと思われる
24日・・finish

PAST INDEX FUTURE

Last updated: 2005/7/26

ganba1@mx5.kct.ne.jpganba1@mx5.kct.ne.jp