Home WHAT'S ホワイトニング? 歯の場所説明 スタッフA スタッフB スタッフC
スタッフD スタッフE ブライダル・ホワイトニング お問い合わせ

staff B

特徴;比較的しみが軽かった
日中は仕事、主婦として夜は家事で忙しい日々を送っている。
・ホワイトニング法:そういった事情から通常の使用方法ではありませんが、仕事中にトレーを装着してホワイトニング。通法通り1日2時間でホワイトニングをはじめる。3本目から時間を延長して行った。
・歯の明るさ:明るい方から3番目
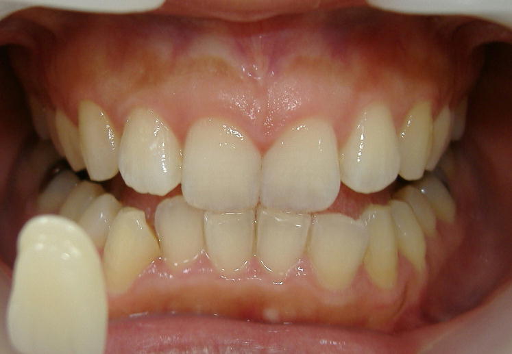
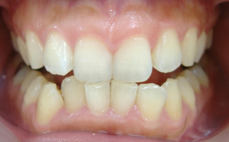
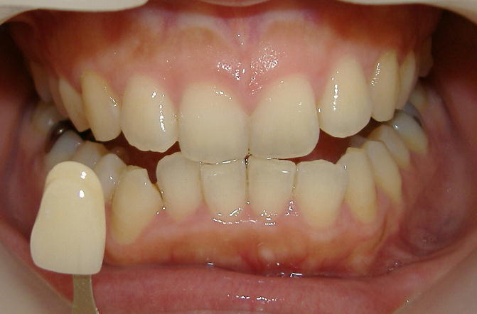
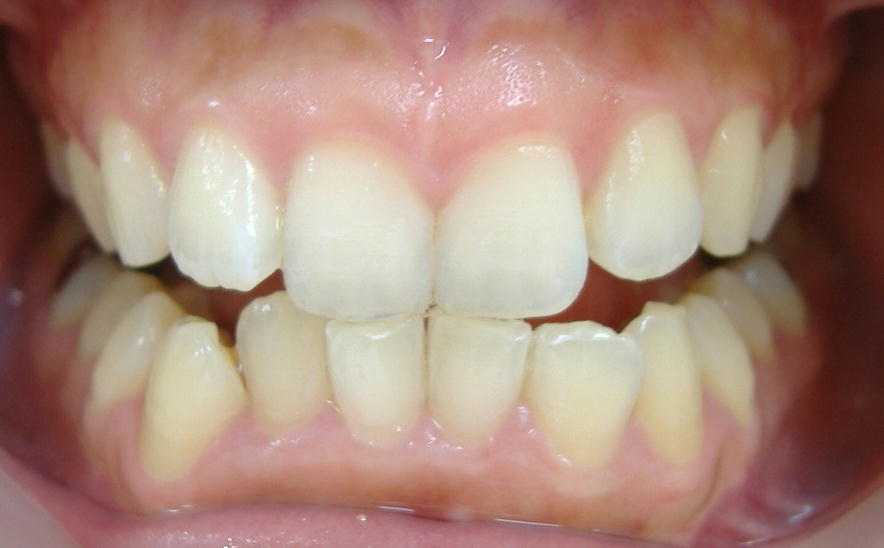
違いがわかりやすいように、まず上だけホワイトニングしています
 
*本文中の記号(I@@Hなど)については「歯の場所説明」をご覧下さい
 
写真はそのときの写り具合で明るく見えたり暗く見えたりしていますが、上下の歯の色を比較してみて下さい。その差がホワイトニングの差だと感じて下さい。ただ、実物はどの症例ももっと差が歴然としています。
 
before
1日目:15:00〜17:00(2時間)5分くらいトレーの違和感があった。ジェルのミント味が慣れにくいが、しみや知覚過敏はない
2日目:15:00〜17:00(2時間)1時間くらいしてG@@G(←歯の場所説明をご覧下さい)に知覚過敏症状。我慢できる程度。
3日目:9:00〜10:30(1時間半)少ししみがあったため、1時間半にした。上下の白さの違いが良くわかる
4日目:14:00〜16:30(2時間半)まだら様に白いのが気になる。前歯の横縞模様がはっきりしている
5日目:15:00〜17:00(2時間)しみ・痛みなし
6日目:14:00〜16:30(2時間半)仕事中のホワイトニングなので、笑うのが気になる。
before
6日・・ジェル1本終了
7日目14:00〜16:00(2時間)H@G@@G@Hの先が白くなっている。@Hの白濁がよりいっそう目立つ感じ。はずした後は縞模様になっている気がする
8日目:11:00〜13:00(2時間)I@@Iの白化が遅れているのが気になる
9日目:9:00〜12:00(3時間)2時間過ぎた頃より歯肉がイジイジする。いらいらしてはずしたくなる感じ。
10日目:9:00〜13:00(4時間)昨日ほどの違和感はない。臼歯も白くなってきている
11日目:9:30〜11:30(2時間)舌にジェルがついて磨いても取れない。気持ち悪い。
12日目:10:30〜11:45(2時間15分)歯肉のイジイジする感じがずっとある。気になる。全体的に白くなっている気がするがI@@Iは他と比べて白化が遅れている
6日・・ジェル1本終了
12日・・ジェル2本終了
13日目 9:00〜13:00(4時間)今日から4時間にする。3時間くらい経つ話をするせいかジェルが効いていない気がする。
14日目 8:30〜12:30(4時間)今日は違和感はさほどない。
15日目 9:00〜13:00(4時間)G@Gあたりに少ししみのような違和感がある。
16日目 8:30〜12:30(4時間)今日もG@Gあたりに違和感があったが、10分もすればおさまる。その後は異常ないが、3時間もするとミント味もなくなる。
17日目 10:30〜14:30(4時間)G@Gに最初しみを感じたが、5分ほどでおさまる
18日目 18:00〜22:00(4時間)初めて夜にホワイトニングする。
 
 
12日・・ジェル2本終了
18日・・ジェル3本終了
19日目 9:00〜13:00(4時間)特に問題なし
20日目 8:00〜13:30(5時間半)時間を長くすると歯肉がイジイジする。
21日目 0:30〜6:30(6時間)初めて寝ている間のホワイトニング。風邪をひいているため咳が出て唾液が混ざって効果が落ちているかも。
22日目 20:00〜6:00(10時間)今日は休みだったので早くからホワイトニングをはじめるが、子供を寝かしつけるのにしゃべりすぎて効果が落ちているような・・
23日目 3:00〜6:00(3時間)
24日目 23:30〜6:00(6時間半)特に問題なし
18日・・ジェル3本終了
24日・・finish
感想:ホワイトニングには根気とやる気が必要。昼間するよりはやはり夜間する方が効果があると実感した。(本人談)
日中のホワイトニングだったため、夜間に行ったスタッフと比べると唾液でジェルが薄まったため変化率が少ないが、家庭を持って子育てに忙しい今は仕方がないと思われる。
 
24日・・finish

PAST INDEX FUTURE

Last updated: 2005/7/26

ganba1@mx5.kct.ne.jpganba1@mx5.kct.ne.jp