Home WHAT'S ホワイトニング? 歯の場所説明 スタッフA スタッフB スタッフC
スタッフD スタッフE ブライダル・ホワイトニング お問い合わせ

staff E

特徴;ほとんど痛みを感じることはなかった
ホワイトニング法:夜間は主婦として家事で時間が取りづらいため日中にホワイトニングしていく通法通り1日2時間でホワイトニングをはじめて、3本目からできるだけ時間をのばしてみました。
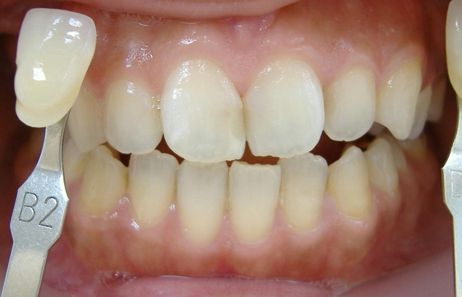
歯の明るさ:明るさは3番目
差がわかりやすいように上だけ先にホワイトニングしています。
 
*本文中の記号(I@@Hなど)については「歯の場所説明」をご覧下さい
 
 
写真はそのときの写り具合で明るく見えたり暗く見えたりしていますが、上下の歯の色を比較してみて下さい。その差がホワイトニングの差だと感じて下さい。ただ、実物はどの症例ももっと差が歴然としています。
 
 
     
 
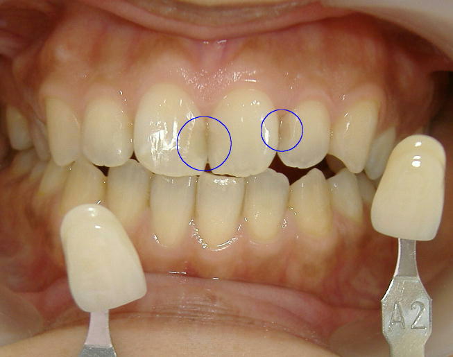
before
丸印は詰め物がしてありますので、ここはホワイトニングできません。
使用説明書のとおり一日2時間でホワイトニングを開始しました
 
 
before
6日・・ジェル1本終了
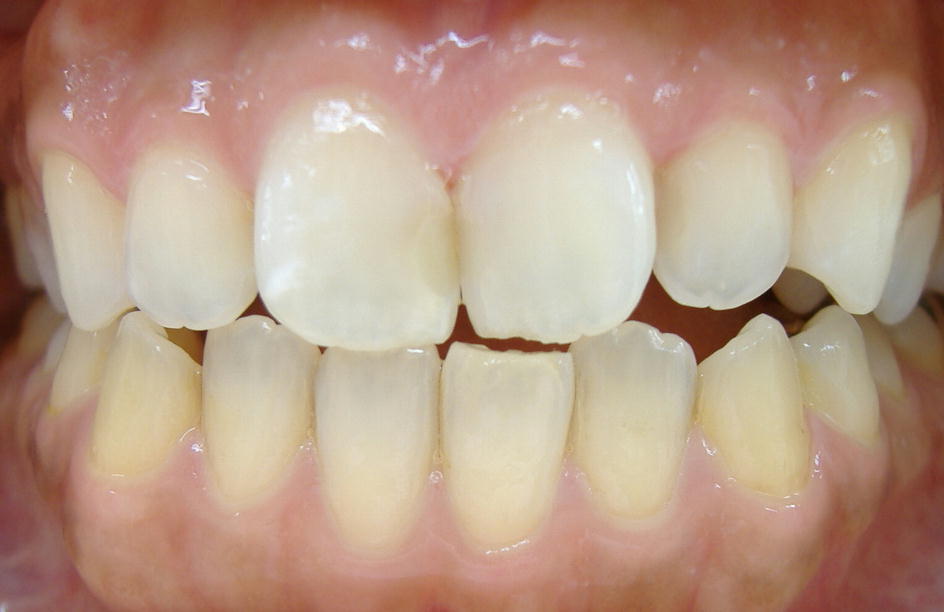
1週間前と比べて随分白くなったように写っていますが、光の加減です。ホワイトニングをしていない下の歯の色と比べてください。まだ、さほどの変化はでていません。
1日目:装着時間pm3:00〜5:00(2時間)ジェルの香料が気になって唾液がでるので結構気になる。
2日目:am7:00〜9:00(2時間)@G(←歯の場所説明をご覧下さい)の左下角に白化が見られる。コーヒーを飲んでしまった。
3日目:am7:00〜9:00(2時間)1時間以上装着していると、口が乾燥してきて気になるが、痛みなどは感じない。
4日目:pm3:00〜5:00(2時間)口の乾燥は気になるが、その他特記するようなことはない。お茶を飲んでしまった。
5日目:pm4:00〜6:00(2時間)@Gの右下角に白化が見られる。
6日目:pm4:00〜6:00(2時間)@Hの左下に白化が見られはじめる。
7日目:am7:30〜9:00(2時間)カレーを食べてしまった。
6日・・ジェル1本終了
12日・・ジェル2本終了
8日目:pm2:30〜4:30
以後ラスト24日まで順調にホワイトニングできました。(画像はありません)
 
 
 
12日・・ジェル2本終了

PAST INDEX FUTURE

Last updated: 2005/12/7

ganba1@mx5.kct.ne.jpganba1@mx5.kct.ne.jp