Home WHAT'S ホワイトニング? 歯の場所説明 スタッフA スタッフB スタッフC
スタッフD スタッフE ブライダル・ホワイトニング お問い合わせ

staff D

特徴;比較的しみが出やすかった為、短い時間しかホワイトニングできなかった
ホワイトニング法:夜間のトレー使用。通法通り1日2時間でホワイトニングをはじめる。3本目から時間を延長しようとするが、さほどに延長できなかった。また、休んだ日もあった
歯の特徴:歯の一部に白斑(歯がチョークのように白い部分)があります。
歯の明るさ:明るい方から3番目
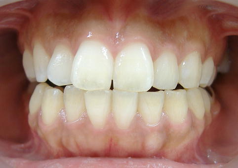
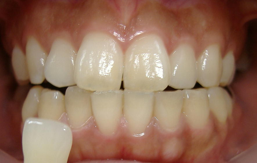
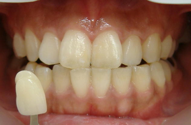
違いがわかりやすいように、まず上だけホワイトニングしています
 
*本文中の記号(I@@Hなど)については「歯の場所説明」をご覧下さい
 
 
 
 
写真はそのときの写り具合で明るく見えたり暗く見えたりしていますが、上下の歯の色を比較してみて下さい。その差がホワイトニングの差だと感じて下さい。ただ、実物はどの症例ももっと差が歴然としています。
 
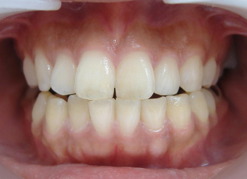
before
ホワイトニング前の写真です。
明るさは明るい方から3番目の明るさの歯をしています。
今回違いがわかりやすいように上だけホワイトニングします。
1日目:「ホワイトニングのジェルは1回1目盛り」の説明を聞き間違えて「1目盛り残して、後全部」つまり5倍の量でホワイトニングをはじめてしまいました。
2時間の予定が1時間半で歯がしみて、その後痛みとなってトレーを外したときの写真です。(下の写真)
急なホワイトニングで形成不全部の白いチョーク様の部分が目立っています。
夜12時(8時間後)くらいまで痛みがあったそうです。
2日目:朝には痛みは治まっていたが、夜規定の2時間トレーをはめようとするが、やはり1時間半くらいで痛みがでた為中止。フッ素ジェルをして就寝。
3日目:様子を見るため中止。「しみるかな?」という感じはあるが大丈夫
4日目:通法の半分の1時間のホワイトニング。痛みなし。歯の先に違和感あり。
5日目:1時間ホワイトニング。痛み・違和感なし
6日目:1時間ホワイトニング。その後、一瞬痛みを感じたが後は問題なし
 
before
手違いで・・・(1,5時間後)
 
 
手違いで・・・(1,5時間後)
6日・・ジェル1本終了
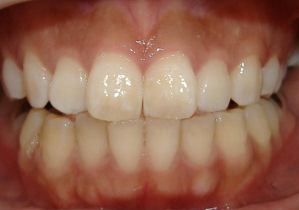
7日目:前回のチョーク様の白さはなくなっている。ホワイトニングしていない下の歯と比べてH@@H(←歯の場所説明をご覧下さい)は白くなってきている。
8日目;1時間。痛みなし
9日目;1時間15分。痛みなし。
10日目;2時間30分。@GHIにトレーをはずした後痛みがある。はずして1時間の間に何度か痛みを感じる。しみ予防のフッ素ジェルをすると落ち着く。
11日目;1時間30分。特に問題なく終了するがはずした後、少し違和感あり。
12日目;22:30〜0:00(1時間30分)痛みしみなし
 
6日・・ジェル1本終了
12日・・ジェル2本終了
13日目;20:45〜22:15(1時間30分)前歯に少しピリピリ感がある程度
14日目;19:45〜21:15(1時間30分)トレー装着中に少しチクチクする感じがある。はずすと@Gの先を舌でさわると痛みを感じたがすぐおさまる。
15日目;20:20〜23:50(1時間30分)トレー装着中は痛みなし。はずしたとき@Gが痛むが1時間もしないうちにおさまる。
16日目;23:00〜1:00(2時間)終了時間前に痛みを感じ、はずすと@Gに痛みを感じた
17日目;前日痛みを感じたので前歯の時間を短くする。奥歯は2時間、前歯は1時間半。痛みなし
18日目;前日同様の方法でホワイトニング。
 
12日・・ジェル2本終了
18日・・ジェル3本終了
19日目;全ての歯を2時間ホワイトニング。チョーク様に白い感じがする。
20日目;17;40〜20:30(3時間)@Gのしみがきつくなったのではずす。たまに風に当たったり、上下噛み合わせで当たると痛む。
21日目;0:00〜3:00(3時間)2:30に一度@Gが痛んだがすぐおさまり、それからは問題なし。はずしてから@Gがたまに痛む。口を閉じているだけでもしみる。
22日目;様子を見て休む
23日目;21:30〜23:00(2時間半)問題なし
24日目;19:30〜22:00(2時間半)多少しみるが問題なし
25日目;21:00〜22:30(1時間半)まだ多少しみるが大丈夫
26日目;19:30〜22:00(2時間半)トレーを入れたまましゃべってしまった。
27日目;22:00〜1:00(3時間)トレー装着中は問題なし。はずしてから痛みを感じる
28日目;最終日21:00〜0:00(3時間)昨日と同じくはずしてから暫く痛みあり。
途中しなかったりしたので今日が最終日となった。
 
18日・・ジェル3本終了
28日・・finish
途中しみがあったので休んだ日もあり28日目が終了日となりました。
28日・・finish

PAST INDEX FUTURE

Last updated: 2005/7/26

ganba1@mx5.kct.ne.jpganba1@mx5.kct.ne.jp